
A recent study published in the scientific journal Nature has revealed a detailed timeline of maternal and fetal dynamics during the first half of human pregnancy. The research, conducted at Stanford University, and in collaboration with scientists from the Hebrew University of Jerusalem helps us understand how foreign fetal cells manage to invade the mother's uterus while escaping maternal immune response, even when many potent immune cells are found in close proximity. In addition, the study focuses on spiral artery remodelling (SAR), the process of transformation of maternal blood vessels during pregnancy which is critical for normal placenta development. The study's findings offer valuable insights into the complex mechanisms underlying pregnancy development and could potentially lead to advancements in placenta-related obstetric complications, such as preeclampsia and preterm birth.
During normal pregnancy, maternal spiral arteries, which are normally coiled and constricted, dilate extensively to become wide flaccid vessels that can transfer low velocity low pressure blood flow to the placenta (this process, for example, does not occur smoothly in preeclampsia). Using Multiplexed Ion Beam Imaging by time-of-flight (MIBI-TOF) the team examined around 500,000 cells and 588 arteries in the intact decidua (which is the border between the maternal and fetal sides in the placenta) from 66 samples of non-medically indicated pregnancy terminations. MIBI enables the detection of up to 40 markers simultaneously at the single cell level, and captures the spatial data: A whole new level of resolution. This approach allowed them to get a detailed understanding of the changes happening in the tissue at different stages of pregnancy.
"This research represents a major leap forward in our understanding of the maternal-fetal interface. By combining spatial data together with MIBI data, we can characterize all cell populations at the maternal-fetal interface, and capture the proteins they are expressing. We can use these data to unravel the complex interactions between foreign fetal cells and maternal immune cells. We can tackle puzzling questions such as ‘Why maternal immune cells are not attacking foreign fetal cells? and ‘What drives the dramatic changes we see in the structure of maternal vessels?’ " said lead researcher Dr. Shirley Greenbaum from Hebrew University of Jerusalem.
Key findings from the study include:
The age of the pregnancy (gestational age) has a big impact on the composition of maternal immune cell populations in the decidua. Starting with an abundance of natural killer (NK) cells, as the pregnancy advances macrophages become more and more dominant. In addition, specific types of cells that promote tolerance (tolerogenic cell subsets) become more abundant and are found in closer proximity to each other. This indicates that the immune environment changes over time to support the developing fetus and prevent harmful reactions.
Fetal cells are driving maternal artery remodeling. One of the processes that are the hallmark of normal placental development and healthy pregnancy are spiral arteries remodelling. In contrast, in samples from preeclamptic pregnancies, the arteries often remain constricted and retain their thick muscular layer. Using the single cell data generated by MIBI, the team was able to establish the relationship between the invasion of fetal cells to these arteries, and to the remodeling of invaded vessels. Surprisingly, they found that maternal artery remodeling process was not driven by adjacent maternal immune cells, but rather by the invasion of fetal cells. This implies that, perhaps, it is the fetus that is driving the remodeling of its mother's arteries, and not the mother. Because abnormal remodeling of arteries is a pathological characteristic of preeclampsia, these findings may lead to a better understanding of this disease.
As spiral artery remodeling (SAR) takes place, specific gene pathways play a crucial role. The study identified 78 such pathways that showed unique patterns of change over time, some increasing steadily (monotonic) and others changing in two distinct phases (biphasic). They found that as the fetal cells invade the uterus, they activate certain beneficial processes. These include promoting the growth of new blood vessels (pro-angiogenic) and regulating the immune system to prevent any harmful reactions (immunoregulatory). These changes help the fetal cells interact with the maternal blood vessels without triggering an immune response from the mother's immune cells. This coordinated process ensures a healthy pregnancy by allowing the fetus to receive the necessary nutrients and oxygen without facing rejection from the mother's immune system.
The research has created a unique and detailed map (spatiotemporal atlas) of the interactions between the mother and fetus in the early stages of pregnancy. This atlas gives us an extraordinary understanding of how these interactions occur. The discoveries made in this study could fill a current knowledge gap regarding normal placenta development. The group is now working on implementing these findings to examine samples from preeclamptic pregnancies. The publication of this study marks a significant milestone in reproductive biology research and offers hope for improved maternal and fetal health outcomes in the future.
The article was published in Nature: https://www.nature.com/articles/s41586-023-06298-9
Pictures - Credit: Stanford University Department of Pathology
Dynamic MIBI Color Overlays: Exploring Trophoblast Invasion in Early Pregnancy Villi and Maternal Decidua
6 MIBI color overlays at different time points during the first half of the pregnancy. Top right image captures an anchoring placenta villous. During early weeks of pregnancy some villi adhere to maternal decidua, which serves as port of entry to invading trophoblasts. In the top right image, invading trophoblasts (in cyan) can be seen as they leave the anchoring villous (magneta with blue tip) and penetrate maternal decidua (denoted in yellow).
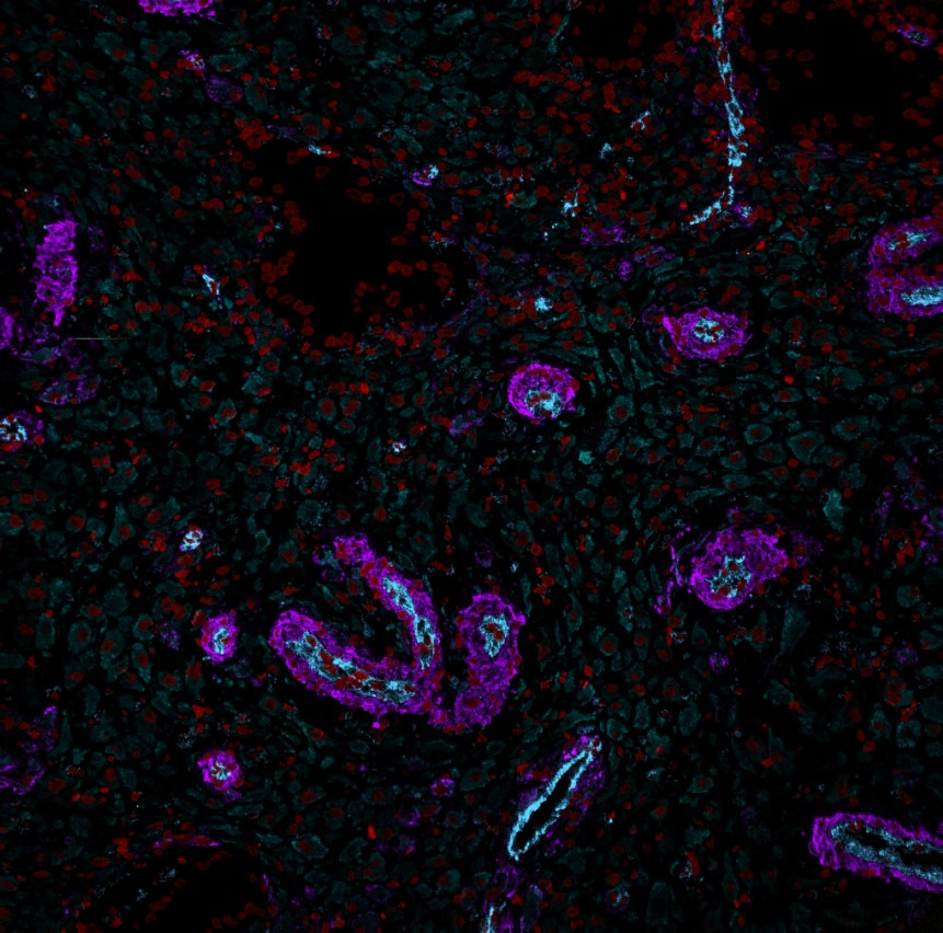
MIBI Color Overlay: 6-Week Decidua Sample with Magenta Smooth Muscle and Maternal Spiral Arteries
MIBI color overlay of 6 weeks gestation decidua sample. Smooth muscle layer is denoted in magenta demonstrating small and coiled maternal spiral arteries.
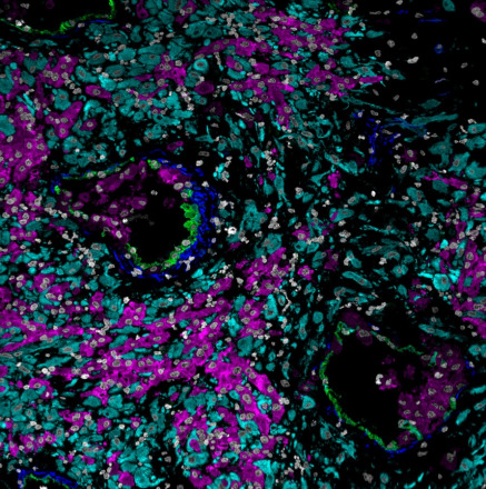
16-Week Decidua MIBI Color Overlay: Fetal Cell Invasion in Magenta, Disrupted Smooth Muscle in Blue
MIBI color overlay of 16 weeks gestation decidua sample. A thin and disrupted smooth muscle layer can be seen in blue, and invading fetal cells are denoted in magenta. Fetal cells can be observed within the artery lumen and surrounding it.
The team includes:
Department of Pathology, Stanford University
Shirley Greenbaum, Inna Averbukh, Erin Soon, Alex Baranski, Noah F. Greenwald, Adam Kagel, Marc Bosse, Zumana Khair, Shirley Kwok, Shiri Warshawsky, Hadeesha Piyadasa, Mako Goldston, Angie Spence, Matt van de Rijn & Michael Angelo
Department of Obstetrics and Gynecology, Hadassah-Hebrew University Medical Center–Shirley Greenbaum
Immunology Program, Stanford University–Erin Soon
Department of Pathology, University of Californica San Francisco–Gabrielle Rizzuto
Cancer Biology Program, Stanford University–Noah F. Greenwald
Department of Obstetrics Gynecology and Reproductive Sciences, University of California San Francisco–Eleni G. Jaswa
Division of Biology and Bioengineering, California Institute of Technology–Geneva Miller, Morgan Schwartz, Will Graf & David Van Valen
Department of Obstetrics and Gynecology, Stanford University–Virginia D. Winn
Department of Pathology, Memorial Sloan Kettering Cancer Center, New York–Travis Hollmann
Department of Molecular Cell Biology, Weizmann Institute of Science–Leeat Keren
